在西安,牙齿问题困扰着不少人,而大家在选择牙科治疗时,价格往往是关注的重点。今天就给大家带来西安各个医院牙科价位表的详细内容。从表中我们能看到,种植牙价格2580元起,这对于那些牙齿缺失需要种植的人来说,无疑是个值得关注的信息。补牙只需68元,这让有龋齿等问题需要补牙的朋友能以较低的成本解决牙齿问题。矫正牙齿的价格6999元起,对于追求牙齿整齐美观的人来说,也是一个可参考的价位。接下来,我们就详细了解一下西安各个医院牙科的具体价位情况。

西安各个医院牙科价位表
西安各个医院牙科价位表涵盖了多种牙科项目的价格。不同的医院由于其设备、医生技术、服务等方面存在差异,所以同一项目的价格也会有所不同。这份价位表能为大家在选择牙科医院和治疗项目时提供一个价格参考,让大家能根据自己的经济情况和牙齿状况做出合适的选择。

西安各个医院牙科项目价格详情
以下是西安各个医院牙科一些常见项目的价格情况:
项目 | 价格 |
种植牙 | 2580元起 |
补牙 | 68元 |
牙齿矫正 | 6999元起 |
洗牙 | 100 - 300元 |
拔牙 | 50 - 500元 |

西安牙科医院口碑与评价
在西安有不少口碑不错的牙科医院。比如某口腔医院,它在当地的有名度较高,特别多患者反馈这里的医生技术不错,对待患者非常耐心。医院的设备也特别精良,能为患者提供更正确的诊断和更有效的治疗。在种植牙方面,医生会根据患者的具体情况制定个性化的方案,术后成效也得到了特别多患者的认可。还有一家牙科诊所,以其亲民的价格和优质的服务受到了周边居民的喜爱。这里的补牙服务价格实惠,而且补牙材料质量也有保护,患者在这里补牙后特别少出现问题。

西安牙科医生技术与经验
西安的牙科医生们大多有着丰富的技术和经验。有些医生在种植牙领域有着多年的研究和实践,他们能熟练掌握各种种植牙技术,对于不同类型的牙齿缺失情况都能进行有效的处理。在牙齿矫正方面,也有特别多医生擅长使用不同的矫正方法,如传统金属矫正、隐形矫正等,能根据患者的需求和牙齿状况选择合适的矫正方案。而且,这些医生还会不断参加学术交流和培训,学习全新的牙科技术和理念,以提高自己的专精水平,为患者提供更好的治疗服务。

西安牙科治疗成效感受
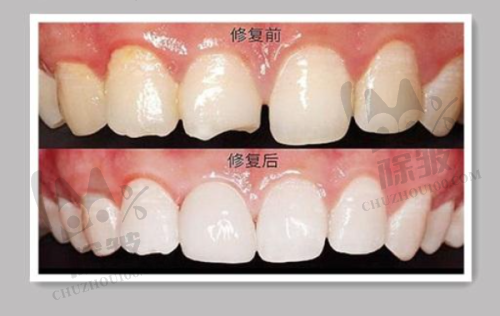
特别多在西安接受牙科治疗的患者都有不错的成效感受。对于种植牙患者来说,种植牙后牙齿的功能和美观度都得到了较大的改善,就像自己原来的牙齿一样。在日常生活中,吃东西也不再受到影响,自信心也增强了。牙齿矫正的患者在矫正过程中虽然会经历一些不适,但看到牙齿逐渐变得整齐,也觉得一切都是值得的。矫正结束后,不仅牙齿外观变得更美了,而且口腔健康也得到了提升,刷牙也更容易清洁干净。补牙的患者则解决了牙齿疼痛的问题,修复了正常的咀嚼功能。

西安牙科项目科普知识
种植牙是一种现代的牙齿修复方法,它是通过手术将人工牙根植入缺牙部位的牙槽骨内,经过一段时间的愈合后,再安装牙冠。种植牙的优点是稳定性好、美观度高、使用寿命长,但费用相对较高。补牙是针对龋齿等牙齿问题的治疗方法,当牙齿被细菌侵蚀出现龋洞时,需要及时补牙,防止龋洞进一步扩大。补牙材料有多种,医生会根据患者的情况选择合适的材料。牙齿矫正则是通过外力使牙齿移动到正确的位置,达到整齐美观的成效。矫正方法有特别多种,不同的方法适用于不同的牙齿情况。洗牙是一种常见的口腔保健方法,它可以去除牙齿表面的牙结石、菌斑和色素,预防牙周疾病。拔牙则是在牙齿无法保留或影响口腔健康时采取的措施,但拔牙后需要注意伤口的护理。

总结西安各个医院牙科价位表
综上所述,西安各个医院牙科价位表为我们提供了丰富的价格信息,涵盖了种植牙、补牙、矫正等多种牙科项目。不同的医院和项目价格有所差异,大家可以根据自己的实际情况进行选择。同时,在选择牙科医院和医生时,除了关注价格,还要考虑医院的口碑、医生的技术和经验等因素。希望大家都能重视口腔健康,在西安找到合适的牙科医院和医生,解决自己的牙齿问题,拥有健康美丽的牙齿。再次提醒大家,这份西安各个医院牙科价位表中的价格仅供参考,实际价格可能会因各种因素而有所变动。
