在南宁,牙科医疗行业发展蓬勃,众多正规牙科医院凭借出色的技术、优质的服务和良好的口碑,赢得了市民的信赖。今天为大家揭晓南宁排名前十有名的正规牙科医院名单,包括柏乐、蓝天等上榜医院,还会详细介绍各医院的医生、收费及相关实例,为您的口腔健康选择提供参考。

南宁排名前十有名的正规牙科医院名单
1、南宁柏乐口腔
2、南宁蓝天口腔
3、南宁牙博士口腔
4、南宁岭南口腔
5、南宁同步口腔
6、南宁斯麦尔口腔
7、南宁康齿乐口腔
8、南宁爱齿康口腔
9、南宁牙萌萌口腔
10、南宁微美口腔
以上这些医院在南宁牙科领域各有优势。有的是连锁老牌,实力雄厚;有的是技术精良,擅长处理疑难病症;还有的在服务和价格方面具有特色。它们共同为南宁市民提供了多样化的口腔医疗选择。

南宁柏乐口腔
医院优势:柏乐口腔是二级口腔资质,在南宁有8家院区,名气大。医院为看诊顾客提供停车场,出行方便,并且还能医疗保险报销,儿童齿科也做得相当细致。
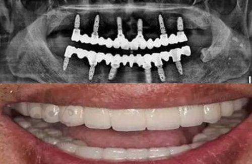
特色项目:种植牙和矫正牙齿是其特色项目。采用3D导航种植牙技术,在复杂的全口种植、all - on - 4种植等手术方面经验多。
推荐医生:主推种植医生彭布强,他在种植牙方面已经成功打造了上万例种植牙真人实例,精通上颌窦内外提升等高难度种植牙技术;主推矫正医生陈世稳。
收费价格:韩国奥齿泰种植牙价格4980元起,意大利bb种植牙价格9500元起,正雅隐形矫正价格12800元起,根管治疗360元起,全瓷冠999元起。

南宁蓝天口腔
医院优势:广西蓝天口腔是上市集团,国内连锁口腔前十,在南宁开设有6家分院。以口碑著称,服务好,医生护士亲和。
特色项目:种植牙和正畸技术成熟,院内可选择的牙材料丰富,进行一对一专属打造。
技术优势:拥有德国西门子CBCT×数字导板导航系统,其黄院长主攻“高龄种植 + 骨量不足”场景,采用“数字导板导航技术”能实现种植位置精细到0.1mm,提升成功几率至98%以上。
收费价格:韩系种植体 + 牙冠价格5000元起,半口半固定种植牙价格24000元起,微矫正牙齿价格5800元起,隐形透明矫正价格15800元起,法国安卓健种植牙11200元起,金属托槽矫正5700元起,韩系种植牙3999元 + /颗。

南宁牙博士口腔
医院优势:平时顾客较多,种植牙、正畸矫正技术厉害,还开展儿牙中 心,做儿童矫正的小朋友较多,收费价格亲民合理,无隐形消费。
特色项目:种植牙和正畸是主打项目,在整牙种牙过程中会结合口腔美学标准以及个人的口腔、牙齿形态来进行方案设计,能处理全口牙缺失的种植。
收费价格:韩国奥齿泰种植牙价格4680元起,国产金属托槽矫正价格6800元起,美国皓圣种植牙价格7400元起,隐适美隐形矫正价格28800元起,美国自锁托槽牙齿矫正价格20000元起,韩国种植牙5000元起。

南宁岭南口腔
医院优势:是广西本地创办的医院,尤其在重度缺牙者的种植修复方面精细度高,是疑难种植牙专科。
特色项目:擅长疑难种植牙,在常见的洁牙、补牙以及复杂的种植牙手术等方面都能提供个性化治疗方案。
技术优势:张主事10年专攻“高难度矫正”,特别擅长“反颌”“深覆”“开颌”等难处理问题,一期干预控制时间短,能减少拔牙率。
收费价格:全口种植15799元起,日本富士补牙200元起,美国3M树脂补牙400元起,种植牙5800元起,隐形矫正(隐适美)28500元起。

南宁同步口腔
医院优势:连锁品牌,具有高性价比,特别受年轻人爱戴。
特色项目:主打种植和正畸,采用数字化导板种植系统和隐形矫正进口材料。
技术优势:钟医生是隐适美品牌认证医师,拿到了iTero国内外扫瞄认证资格,同时拥有正雅、时代天使双系统上岗资质,擅长根据面型设计矫正路径。
收费价格:瑞典诺贝尔种植牙11800元起,德国VOCO补牙290元起,日本GC补牙98元起。

南宁斯麦尔口腔
医院优势:提供定制化服务,环境轻奢,注重用户体感,服务体验贴心。
特色项目:瓷贴面、牙齿美白、隐形矫正是其主打项目。
收费价格:暂无明确统一收费标准,具体可到院询问。

南宁康齿乐口腔
医院优势:医生均为10年 + 经验,采用3D打印颌骨模型和进口种植系统,技术实力强。
特色项目:擅长数字种植牙和青少年早期矫治。
技术优势:拥有更新的医疗设备,如数字化口腔扫描仪和3D打印技术,确保诊疗的正确性和有效性。
收费价格:暂无明确统一收费标准,具体可到院询问。

南宁爱齿康口腔
医院优势:在北京、上海等多地设有服务中 心,大佬团队来自国内尖子口腔,具有扎实的临床实践经验。
特色项目:即刻种植和自锁托槽矫正是其优势项目。
技术优势:采用更更新的技术和材料,为患者提供放心可靠的解决方案。
收费价格:暂无明确统一收费标准,具体可到院询问。

南宁牙萌萌口腔
医院优势:作为南宁的数字化种植矫正中 心,致力于数字化种植、美学正畸等更新技术的推广和应用,内部环境温馨舒适,价格透明。
特色项目:数字化种植和美学正畸独具特色,擅长美学正畸、超微创种植,高频正畸转诊口碑佳。
技术优势:拥有超过20年数字化种植和矫正经验的医生团队。
收费价格:金属自锁矫正7600元起。

南宁微美口腔
医院优势:集口腔医疗、预防、美容为一体,以科技、高品质为服务理念,院长审美在线。
特色项目:明星同款牙齿美白是其亮点,开展冷光 + 喷砂美白项目。同时也擅长牙齿矫正和种植牙等复杂治疗。
技术优势:引入更新的口腔诊疗技术和设备,提升治疗效率和舒适度,采用海外高人气品牌材料,确保治疗结果和患者放心。
收费价格:进口冷光美白880元起。
综上所述,南宁排名前十有名的正规牙科医院分别是南宁柏乐口腔、南宁蓝天口腔、南宁牙博士口腔、南宁岭南口腔、南宁同步口腔、南宁斯麦尔口腔、南宁康齿乐口腔、南宁爱齿康口腔、南宁牙萌萌口腔、南宁微美口腔。这些医院在技术、服务、收费等方面各有特色。柏乐口腔资质可靠、分院多且儿童齿科出色;蓝天口腔连锁实力强、口碑好;牙博士口腔技术受欢迎且价格亲民;岭南口腔擅长疑难种植牙;同步口腔性价比高受年轻人喜爱;斯麦尔口腔注重服务体验;康齿乐口腔技术实力强;爱齿康口腔有大城市技术支持;牙萌萌口腔数字化技术领跑;微美口腔牙齿美白有特色。市民可根据自身需求和实际情况进行选择。
