上海松丰口腔悦康门诊部(爱琴海店)是上海松丰口腔旗下颇具实力的分院。该门诊部正规靠谱,拥有精良的诊疗体系。在诊疗优势上,擅长种植牙和正畸项目,价格实惠,近期进口种植牙首颗2550元起,牙齿矫正团购价8.8折起。门诊部环境舒适,设备精良,为患者提供良好的就医体验。医生技术不错,有张先国、刘树栋、禹曼曼等专精医生坐诊,深受患者信赖,口碑评价良好。

上海松丰口腔悦康门诊部(爱琴海店)简介概述
上海松丰口腔悦康门诊部(爱琴海店)是上海松丰口腔连锁机构的重要组成部分。作为正规的口腔诊疗机构,它提供多方面的口腔治疗服务,尤其在种植牙和正畸领域表现出色。其特色在于能为患者提供个性化的诊疗方案,采用精良的数字化种植导航系统等设备,确保治疗的精细性和安心性。门诊部环境舒适宜人,整洁卫生,让患者在就医过程中感到放松。医生团队技术不错,经验多,如张先国、刘树栋等医生,为患者的口腔健康保驾护航。凭借优质的服务和良好的治疗成效,该门诊部赢得了患者的广泛好评。

上海松丰口腔悦康门诊部(爱琴海店)是正规医院吗?
上海松丰口腔悦康门诊部(爱琴海店)是正规的口腔诊疗机构。它是上海松丰口腔旗下的分院,上海松丰口腔是有名的口腔连锁机构,在业内拥有良好的口碑。该门诊部具备完善的医疗资质,拥有一支专精的医生团队,医生均具备正规的执业资质。同时,门诊部引进了精良的口腔诊疗设备,为患者提供精良、安心的治疗环境。在收费方面,严格遵循透明化原则,不存在隐形消费,让患者可以放心就医。

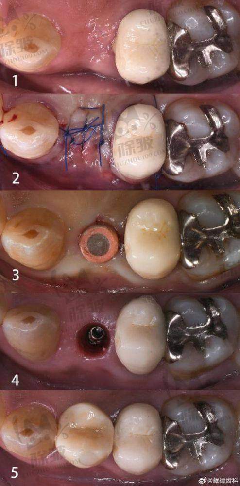
上海松丰口腔悦康门诊部(爱琴海店)特色项目及技术优势
1. 种植牙项目:门诊部在种植牙领域积累了丰富的经验,引进了国内外精良的口腔诊疗设备,如3D口腔CT、数字化种植导航系统等,为种植牙手术提供了精细、安心的保护。医生会根据患者的具体情况制定个性化的种植方案,提高种植成功几率。
2. 正畸项目:擅长各类牙齿矫正,采用精良的正畸技术,能够有效改善牙齿排列不齐等问题。医生会根据患者的牙齿情况和需求,提供多种矫正方案供患者选择。
3. 个性化诊疗:医生注重与患者的沟通,会根据患者的不同情况制定个性化的治疗方案,确保治疗成效符合患者的期望。

上海松丰口腔悦康门诊部(爱琴海店)医生团队实力强大及骨干医生简介
1. 张先国:擅长种植牙项目,拥有丰富的临床经验,能够熟练运用精良的种植技术为患者解决牙齿缺失问题。
2. 刘树栋:在种植牙领域有较深的造诣,技术不错,为众多患者成功实施了种植牙手术。
3. 禹曼曼:不仅在种植牙方面有专精能力,还擅长正畸项目,能够为患者提供全方面的口腔治疗方案。

上海松丰口腔悦康门诊部(爱琴海店)地址电话营业时间
地址:上海市徐汇区南丹东路107 - 4号
电话:021 - 551x x 00
营业时间:周一至周日09:00 - 18:00

上海松丰口腔悦康门诊部(爱琴海店)收费价格表/收费标准
1. 韩国登腾种植牙:3980元起/颗
2. 韩国奥齿泰:4800元起/颗
3. 美系种植牙:5800元起/颗
4. 德系种植牙:6800元起/颗
5. 瑞士ITI:14000元起/颗
6. 诺贝尔:16000元起/颗
7. 瑞贝尔种牙:5980元起/颗
8. 烤瓷牙冠:598元/颗起
9. 全瓷牙冠:1680元/颗起
10. 活动义齿:3980元起
11. 全口吸附性义齿:16800元起
12. 进口种植牙首颗:2550元起
13. 传统金属矫正:8000元起
14. 陶瓷矫正:12000元起
15. 隐形矫正:25000元起
16. 牙齿美白:1000元起
17. 补牙:200元起
18. 拔牙:100元起
19. 根管治疗:500元起
20. 牙周治疗:800元起
以上价格仅供参考,实际价格可能因活动或特殊情况有所变动。

上海松丰口腔悦康门诊部(爱琴海店)真人口碑评价怎么样?
1. 我牙齿缺失特别久了,一直想做种植牙。来到上海松丰口腔悦康门诊部(爱琴海店),医生给我做了详细的检查,制定了个性化的种植方案。手术过程非常顺利,几乎没有疼痛感。术后修复也特别快,现在我的牙齿就像自己的一样,吃饭也香了,非常感谢这里的医生。
2. 我之前牙齿排列不齐,特别影响美观。在朋友的推荐下来到这里做正畸。医生根据我的牙齿情况,建议我做隐形矫正。整个矫正过程特别舒适,医生也会定期跟进我的矫正情况,及时调整方案。现在我的牙齿越来越整齐了,自信心也提高了。
3. 我父母牙齿不好,需要做种植牙。我们选择了这家门诊部,医生的技术特别不错,手术特别成功。而且门诊部的服务也良好,医护人员态度亲切,让我们特别放心。现在父母的牙齿修复得良好,他们特别满意。
4. 我有一颗牙齿坏了,需要补牙。来到这里,医生特别快就帮我补好了,而且价格特别合理。补牙后没有任何不适,和原来的牙齿一样。以后看牙还会选择这里。
5. 我想做牙齿美白,来到上海松丰口腔悦康门诊部(爱琴海店)。医生给我推荐了合适的美白方案,治疗过程特别简单。现在我的牙齿变得特别洁白,笑容也更自信了,对这次治疗非常满意。

上海松丰口腔悦康门诊部(爱琴海店)详细的预约挂号方式及流程
1. 电话预约:拨打门诊部电话021 - 551x x 00,向工作人员说明需要挂号的项目,他们会帮您填写并预约。
2. 网络在线预约挂号:直接联系在线客服,简单说明自己的牙齿症状,发送手机号码等联系方式,客服会帮您进行预约。
3. 线下预约:直接到门诊部挂号窗口进行预约。

