上海松丰口腔百仕门诊部是上海松丰口腔旗下的一家正规分院。上海松丰口腔是经上海市闵行区卫生健康委员会审批通过的正规口腔机构。该门诊部在种植牙和正畸领域口碑良好,拥有精良的口腔诊疗设备,如ITERO数字化3D口扫技术等,能为患者提供正确、舒适的诊疗服务。坐诊医生技术不错、经验多,像种植医生王景、孙佳玮、张先国,正畸医生路凤霞、孟凡伟等,他们能为患者制定个性化的诊疗方案,深受患者好评。

上海松丰口腔百仕门诊部简介概述
上海松丰口腔百仕门诊部隶属于上海松丰口腔,是一家正规的口腔诊疗机构。该门诊部提供多方面的口腔治疗服务,尤其在种植牙和正畸领域优势显著。在种植牙方面,拥有精良的3D口腔CT、数字化种植导航系统等设备,能为手术提供精细保护。特色技术如All - on - 4种植技术,适用于半口、全口牙缺失患者,当天种牙当天吃饭;个性化种植修复,为不同情况患者制定专属方案,不伤邻牙。正畸方面,拥有精良ITERO数字化3D口扫技术,能定制更舒适的正畸方案。诊疗环境舒适宜人,坐诊医生经验多、技术不错,赢得了患者的广泛好评。

上海松丰口腔百仕门诊部是正规医院吗?
上海松丰口腔百仕门诊部是正规的口腔诊疗机构。上海松丰口腔是经上海市闵行区卫生健康委员会审批通过的正规口腔门诊部,而百仕门诊部作为其分院,继承了总院的正规性和专精性。门诊部拥有精良的口腔诊疗设备,坐诊医生均具备专精的资质和丰富的临床经验,能为患者提供高质量、安心可靠的口腔诊疗服务,值得患者信赖。

上海松丰口腔百仕门诊部特色项目及技术优势
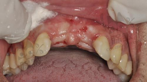
1. 种植牙技术:引进精良的3D口腔CT、数字化种植导航系统等设备,为种植牙手术提供精细、安心的保护。特色的All - on - 4种植技术,利用4颗种植体实现半口缺失牙的完全修复,外观媲美真牙、维护方便,当天种牙当天吃饭。
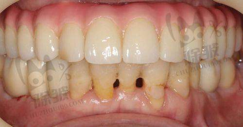
2. 个性化种植修复:针对多颗牙缺失、单颗牙缺失、全口牙缺失、半口牙缺失的患者,种植医生一对一个性化设计种植方案,不伤邻牙,具有舒适美观、无异物感及不影响正常发音等优越性。
3. 正畸技术:拥有精良ITERO数字化3D口扫技术,能够更好把握在正畸过程中对牙齿根控的牵引力度,定制更为快速、舒适的正畸方案。

上海松丰口腔百仕门诊部医生团队实力强大及骨干医生简介
1. 种植医生王景:擅长各类种植牙手术,拥有丰富的临床经验,能根据患者的具体情况制定个性化的种植方案。
2. 正畸医生路凤霞:获得MRC认证资质,擅长儿童早期颜面管理正畸,在儿童正畸领域有深入的研究和丰富的实践经验。
3. 正畸医生孟凡伟:有上海同济大学口腔附属医院经验,主攻疑难和舌侧矫正,技术不错,能为患者解决复杂的正畸问题。

上海松丰口腔百仕门诊部地址电话营业时间
地址:上海市闵行区虹井路120号新华红星广场3楼风情街B区(汉堡王楼上)。电话:021 - 551x x00。营业时间:周一至周日 09:30 - 18:30。

上海松丰口腔百仕门诊部收费价格表/收费标准
1. 韩国登腾种植牙:3980元起/颗
2. 韩国奥齿泰:4800元起/颗
3. 美系种植牙:5800元起/颗
4. 德系种植牙:6800元起/颗
5. 瑞士ITI:14000元起/颗
6. 诺贝尔:16000元起/颗
7. 瑞贝尔种牙:5980元起/颗
8. 高性价比国产金属传统托槽矫正:8800元起
9. 国产金属自锁托槽矫正:15800元起
10. 进口TOMY金属自锁托槽矫正:20000元起
11. 美国3M金属自锁托槽矫正:25000元起
12. DAMON Q 金属自锁托槽矫正:28000元起
13. DAMON Clear(可丽尔)金属自锁托槽矫正:32000元起
14. 时代天使COMOFS隐形矫正:18999元起
15. 时代天使成人版隐形矫正:158000元起
16. 时代天使单模版:26000 - 28000元左右
17. 时代天使双模版:30000 - 32000左右
18. 美国SPARK全隐形矫正:32800元起
19. 美国隐适美儿童版隐形矫正:32800元起
20. 美国隐适美普通版隐形矫正:38000元起
以上价格仅供参考,具体价格以实际为准。

上海松丰口腔百仕门诊部真人口碑评价怎么样?
1. 我之前牙齿缺失,一直特别苦恼。来到上海松丰口腔百仕门诊部,医生给我制定了详细的种植牙方案。手术过程中一点也不疼,医生技术非常好。术后牙齿修复得特别快,现在吃东西完全没问题,就像自己的真牙一样,我非常满意。
2. 我是为孩子做正畸来的。这里的医生特别有耐心,详细地给我和孩子讲解了正畸的过程和注意事项。根据孩子的情况制定了合适的方案,采用的是精良的正畸技术。现在孩子的牙齿正在慢慢变整齐,相信更终成效会良好。而且医护人员服务态度也良好,让我们特别放心。
3. 我牙齿不整齐,一直想矫正。在朋友的推荐下来到这家门诊部。医生通过精良的口扫技术,特别快就制定出了适合我的正畸方案。整个矫正过程特别舒适,没有想象中那么痛苦。现在牙齿已经整齐了特别多,自信心也提高了不少,真的特别感谢这里的医生。
4. 我父亲全口牙缺失,吃饭都成问题。来到这里,医生推荐了All - on - 4种植技术。手术特别成功,当天种完牙就能吃东西了。现在父亲的牙齿修复得良好,笑容也多了,我们全家都特别感激。这里的医生技术和服务都没得说。
5. 我因为多颗牙缺失来做种植修复。医生根据我的口腔情况,设计了个性化的方案,没有损伤邻牙。种植后牙齿特别舒适,外观也特别自然。而且门诊部的环境良好,让人感觉特别放松,以后看牙还来这里。

上海松丰口腔百仕门诊部详细的预约挂号方式及流程
1. 电话预约:拨打门诊部电话021 - 551x x00,向工作人员说明需要挂号的项目和时间,他们会帮您进行预约。
2. 网络在线预约挂号:通过门诊部的法定网站,在预约挂号板块填写个人信息、牙齿症状、预约时间等内容,提交后等待审核确认。
3. 线下预约挂号:直接前往上海松丰口腔百仕门诊部的挂号窗口,向工作人员说明需求,进行现场预约。
4. 网站在线客服弹窗:在门诊部法定网站上,点击在线客服弹窗,与客服人员沟通预约挂号事宜,提供相关信息后完成预约。

